پوسیدگی دندان شیری در کودکان را جدی بگیرید!/ شایع ترین مشکلات دندانی در کودکان
بسیاری از والدین تصور میکنند مراقبت از دندانهای شیری چندان اهمیتی ندارد و پوسیدگی در دوران کودکی طبیعی است.
بسیاری از والدین تصور میکنند مراقبت از دندانهای شیری چندان اهمیتی ندارد و پوسیدگی در دوران کودکی طبیعی است.
کرم خوردگی دندان : اکثر افراد تصور می کنند که دندان کرم خورده را دیگر نمی توان درمان کرد. این در حالی است که تحقیقات…
سلامت دهان و دندان نقش بسیار مهمی در کیفیت زندگی و سلامت عمومی ما دارد. یکی از مهمترین ابزارهای مراقبت از دندانها،…
یک دندانپزشک گفت: رفلاکس معده باعث اسیدی شدن محیط دهان و در نتیجه افزایش خطر پوسیدگی دندانها میشود.
لبخند، زبان بیکلامی است که هر انسانی آن را میفهمد. اما پشت این لبخند زیبا، دندانهایی سالم و مقاوم پنهان شدهاند که…
کمبود ویتامین A سبب اختلال در سلولهای اپیتلیال میشود.
«آمارها حاکی از این هستند که هر ایرانیِ بین 30 تا 40 سال، به طور میانگین بیش از 6 دندان پوسیده دارد. وضعیت در سنین…
سه ویتامین اساسی که کمبود آنها میتواند سبب پوسیدگی و خراب شدن دندانها شود عبارتند از: ویتامین A، ویتامین D، ویتامین …
عضو هیئت علمی دانشگاه علوم پزشکی شهید بهشتی، دکتر سولماز ولیزاده، در یک پژوهش اخیر به مقایسه دقت تشخیصی پرتوهای مادون…
فلوراید از نظر ساختاری سبب میشود سطح دندان مقاومت بیشتری نسبت به اسیدها داشته باشند. طبق مطالعات صورت گرفته، در ۵۰…
مصرف تنقلات چسبناک مثل چیپس، پفک، بعضی شکلاتها، تافی و ... در وسط روز باعث پوسیدگی تدریجی دندانها میشود. چون این…
دبیر علمی کنگره دندان پزشکان ایران استفاده از نخ دندان را در کنار مسواک زدن، از جمله موارد مهم برای جلوگیری از پوسیدگی …
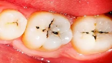
پوسیدگی دندان نوعی بیماری است که در آن بافت سخت دندان (مینا و سپس عاج) به وسیله اسیدی که از برخی باکتریها خارج میشود…
بسیاری از والدین با این توصیه مواجه میشوند که نباید نوزادشان را با شیر مادر بخوابانند، زیرا ممکن است به دندانهای او…
پوسیدگی دندان نوعی بیماری است که در آن بافت سخت دندان (مینا و سپس عاج) تخریب میشود. این تخریب به وسیله اسیدی که از…