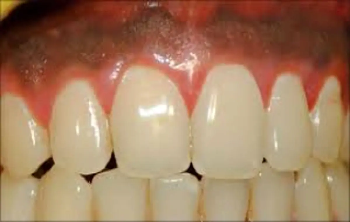
سیاه شدن لثه بعد از ایمپلنت: علل، پیشگیری و درمان
سیاه شدن لثه پس از کاشت ایمپلنت دندانی یکی از عوارض نگران کننده برای بیماران است. این مقاله به بررسی علل اصلی این مشکل از جمله واکنش به مواد ایمپلنت، عفونت، و روش های پیشگیری و درمان مؤثر آن می پردازد.
به گزارش پارسینه ، ایمپلنت دندانی یکی از روش های پیشرفته و مؤثر در دندانپزشکی برای جایگزینی دندان های از دست رفته است. با این حال، برخی از بیماران پس از این پروسه ممکن است با مشکلاتی مواجه شوند که یکی از آن ها سیاه شدن لثه ها است. سیاه شدن لثه بعد از ایمپلنت می تواند نگرانی های زیادی را برای بیماران به وجود آورد و این موضوع نیاز به توجه و بررسی دقیق دارد. در این مقاله، به بررسی علل، پیشگیری و روش های درمان این مشکل خواهیم پرداخت.
سیاه شدن لثه ها می تواند به دلایل مختلفی ایجاد شود که در ادامه به مهم ترین آن ها اشاره می شود:
واکنش به مواد ایمپلنت
بسیاری از ایمپلنت های دندانی از مواد تیتانیوم یا آلیاژهای تیتانیوم ساخته می شوند. در برخی از بیماران، سیستم ایمنی بدن ممکن است به این مواد واکنش نشان دهد که نتیجه آن التهاب و سیاهی لثه ها خواهد بود.
عفونت
عفونت پس از جراحی ایمپلنت می تواند باعث التهاب و تغییر رنگ لثه ها شود. این عفونت معمولاً ناشی از باکتری ها است و در صورتی که به موقع درمان نشود، می تواند عوارض جدی تری به همراه داشته باشد.

عدم رعایت بهداشت دهان و دندان
رعایت نکردن بهداشت دهان و دندان پس از انجام ایمپلنت می تواند منجر به تجمع پلاک و باکتری ها در اطراف ایمپلنت و لثه ها شود. این موضوع ممکن است باعث التهاب و تغییر رنگ لثه ها شود.
بیماری های لثه
بیماری های لثه، مانند پریودنتیت، می توانند باعث تغییر رنگ لثه ها شوند. این بیماری ها در صورت عدم درمان می توانند منجر به از بین رفتن بافت لثه و تغییر رنگ آن شوند.
پیشگیری از سیاه شدن لثه بعد از ایمپلنت
پیشگیری از سیاه شدن لثه ها یکی از اهداف اصلی هر دندانپزشکی است. در ادامه به چندین نکته کلیدی برای پیشگیری اشاره می شود:
الف) رعایت بهداشت دهان و دندان
نکته کلیدی برای جلوگیری از سیاه شدن لثه ها، رعایت بهداشت دهان و دندان است. مسواک زدن روزانه، استفاده از نخ دندان و شستشوی دهان با محلول های ضدعفونی کننده می تواند به کاهش خطر عفونت و التهاب کمک کند.
ب) مراجعه منظم به دندانپزشک
معاینات منظم دندانپزشکی می تواند به شناسایی زودهنگام مشکلات و عفونت ها کمک کند. دندانپزشک می تواند با بررسی وضعیت لثه ها و ایمپلنت، از بروز مشکلات بیشتر جلوگیری کند.
ج) استفاده از رژیم غذایی سالم
تغذیه مناسب و مصرف مواد مغذی می تواند به سلامت لثه ها و دندان ها کمک کند. ویتامین C و کلسیم از مهم ترین مواد مغذی برای بهداشت دهان و دندان محسوب می شوند.

۳. درمان سیاه شدن لثه بعد از ایمپلنت
در صورتی که بیمار با مشکل سیاه شدن لثه ها مواجه شود، درمان های مختلفی وجود دارد که می توان از آن ها استفاده کرد:
الف) درمان عفونت
در صورتی که سیاه شدن لثه ها ناشی از عفونت باشد، دندانپزشک ممکن است آنتی بیوتیک تجویز کند. درمان عفونت معمولاً اولین قدم در رفع این مشکل است.
ب) جراحی لثه
در موارد شدید، ممکن است نیاز به جراحی لثه باشد. جراحی لثه می تواند به اصلاح بافت آسیب دیده و از بین بردن باکتری ها کمک کند.
ج) درمان های زیبایی
اگر سیاه شدن لثه ها به دلایل زیبایی و نه به علت بیماری باشد، درمان های زیبایی مانند لیزر درمانی می توانند مؤثر باشند. این روش ها می توانند باعث بهبود ظاهر لثه ها و کاهش رنگ سیاه شوند.
اهمیت مشاوره با دندانپزشک
اگر شما با مشکل سیاه شدن لثه ها مواجه هستید، مهم است که به دندانپزشک مراجعه کنید. تنها دندانپزشک می تواند علت دقیق این مشکل را تشخیص دهد و بهترین راه حل را برای درمان آن ارائه دهد.
نتیجه گیری
سیاه شدن لثه بعد از ایمپلنت دندانی می تواند ناشی از عوامل مختلفی باشد. آگاهی از این عوامل و رعایت نکات پیشگیرانه می تواند به کاهش خطر بروز این مشکل کمک کند. در صورت مواجهه با این مشکل، مشاوره با دندانپزشک و پیگیری درمان های مناسب ضروری است. با اتخاذ اقدامات لازم می توان سلامت لثه ها را حفظ کرد و از زیبایی لبخند خود لذت برد. به یاد داشته باشید که بهداشت دهان و دندان و مراجعه منظم به دندانپزشکی کلیدهای اصلی برای جلوگیری از بروز مشکلات این چنینی هستند.
ارسال نظر