گوناگون

دشمن زگیل تناسلی چیست؟ آشنایی با راه های پیشگیری از زگیل تناسلی

دشمن زگیل تناسلی چیست؟ آشنایی با راه های پیشگیری از زگیل تناسلی

زگیل تناسلی شایع‌ترین عفونت مقاربتی (STI) بوده که انواع خاصی هم دارد. روش‌های زیادی برای پیشگیری از ابتلا به این بیماری وجود دارد که هم زن و هم مرد را از خطر ابتلا محافظت می‌کنند. برای مثال استفاده از کاندوم، رعایت نکات بهداشتی و عدم برقراری رابطه جنسی با شرکای جنسی متعدد راه‌هایی برای پیشگیری از ابتلا به این بیماری هستند.

به گزارش پارسینه ، دشمن زگیل تناسلی در واقع روش‌های پیشگیری از این بیماری هستند که می‌توانند از ابتلا به ویروس پاپیلومای انسانی (HPV) جلوگیری کنند. زگیل تناسلی که ناشی از HPV است، می‌تواند به‌ویژه با توجه به برخی سویه‌های پرخطر آن، خطر ابتلا به سرطان‌های تناسلی و مقعدی را افزایش دهد. خوشبختانه، با رعایت برخی روش‌های پیشگیری مانند واکسیناسیون HPV، استفاده از کاندوم و انجام معاینات دوره‌ای مانند پاپ اسمیر، می‌توان خطر ابتلا به این بیماری را به‌طور قابل توجهی کاهش داد. این اقدامات به‌ویژه برای افراد فعال جنسی بسیار اهمیت دارند و باید در برنامه سلامت شخصی قرار گیرند. برای آشنایی بیشتر با روش‌های پیشگیری، ادامه مطلب را بخوانید.

برای جلوگیری از زگیل تناسلی چیکار کنیم؟

زگیل تناسلی یکی از شایع‌ترین انواع عفونت‌های مقاربتی است. ویروس پاپیلومای انسانی (HPV) باعث رشد زگیل تناسلی در واژن می‌شود. انواع مختلفی از این ویروس وجود دارد و تقریباً همه افراد فعال از نظر جنسی در مقطعی از زمان حداقل به یک نوع آن مبتلا می‌شوند. زگیل تناسلی بر بافت‌های مرطوب ناحیه تناسلی تاثیر می‌گذارد. این زگیل‌ها به شکل برجستگی‌هایی کوچک و همرنگ پوست هستند اما در برخی موارد هم به راحتی با چشم دیده نمی‌شوند.

با رعایت احتیاطات لازم و افزایش آگاهی خود و شریک جنسیتان در رابطه با روش‌های ایمن در یک رابطه جنسی، می‌توانید خطر ابتلا به زگیل تناسلی را تا حد زیادی کاهش دهید. در ادامه به شکلی مفصل‌تر به این موضوع پرداخته‌ایم و شما را با انواع روش پیشگیری از زگیل تناسلی آشنا کرده‌ایم.

روش پیشگیری نحوه عملکرد مزایا معایب
واکسن HPV سیستم ایمنی بدن را در برابر انواع مختلف ویروس HPV تقویت می‌کند. موثرترین روش پیشگیری، محافظت طولانی مدت، پیشگیری از انواع سرطان‌های مرتبط با HPV. هزینه بالا، ممکن است برای همه افراد مناسب نباشد (مثلاً برای افرادی که قبلاً رابطه جنسی داشته‌اند).
رابطه جنسی ایمن از تماس مستقیم پوستی با ناحیه تناسلی آلوده جلوگیری می‌کند. کاهش قابل توجه خطر انتقال عفونت، پیشگیری از سایر بیماری‌های مقاربتی. محافظت کامل نیست، ممکن است در استفاده از کاندوم اشتباه رخ دهد.
تک همسری کاهش تعداد شرکای جنسی، کاهش احتمال مواجهه با ویروس HPV. ساده و بدون هزینه، می‌تواند به تقویت روابط کمک کند. تضمین‌کننده محافظت کامل نیست، امکان انتقال ویروس از شریک جنسی قبلی وجود دارد.
آزمایش‌های منظم تشخیص زودهنگام عفونت HPV و درمان به موقع. جلوگیری از پیشرفت بیماری و عوارض آن، امکان درمان زودهنگام ضایعات پیش سرطانی. نیاز به مراجعه منظم به پزشک، ممکن است برای برخی افراد استرس‌زا باشد.

مقایسه روش های پیشگیری از زگیل تناسلی

۱. رابطه جنسی ایمن برای پیشگیری از زگیل تناسلی

برای پیشگیری از زگیل تناسلی، هر بار که رابطه جنسی واژینال، مقعدی یا دهانی دارید از کاندوم یا دنتال دم (کاندوم دهانی) استفاده کنید. اگرچه اثربخشی کاندوم و دنتال دم(کاندوم دهانی) در برابر HPV به اندازه سایر بیماری‌های مقاربتی مانند کلامیدیا و اچ‌آی‌وی نیست اما رابطه جنسی ایمن‌تر می‌تواند شانس ابتلا به زگیل تناسلی را تا حد زیادی کاهش دهد.

در حالی که کاندوم نمی‌تواند محافظت کامل در برابر HPV ایجاد کند اما خطر انتقال زگیل را تا حد زیادی کاهش می‌دهد. از آنجایی که HPV از طریق تماس پوست به پوست منتقل می‌شود، وجود کاندوم به عنوان یک مانع می‌توانند بخشی از ناحیه تناسلی یا دهان را پوشش دهد و مانع از برخورد و انتقال پوستی شود.

متن انگلیسی:
Genital warts can be so small and flat that you can’t see them. But rarely, they can multiply into large clusters in someone with a weakened immune system
ترجمه متن:
زگیل تناسلی می‌تواند آنقدر کوچک و صاف باشد که قابل دیدن نباشد. اما به ندرت هم می‌توانند در فردی با سیستم ایمنی ضعیف به خوشه‌های بزرگتر تکثیر شوند.

راه های پیشگیری از زگیل تناسلی در زنان و مردان چیست؟

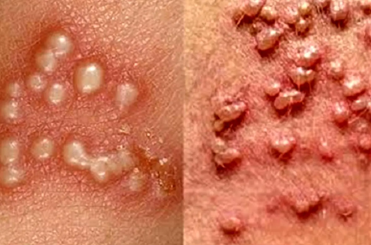
نمونه‌ای از تعداد زیادی زگیل تناسلی در بدن زنان را در تصویر مشاهده می‌کنید.

۲. واکسن پیشگیری زگیل تناسلی (آمپول پیشگیری از زگیل تناسلی)

واکسن گاراداسیل به منظور جلوگیری از انواع سرطان دهانه رحم، وولو، واژن و آنوس و همچنین برای پیشگیری از ایجاد زگیل‌های تناسلی به زنان و برای جلوگیری از ابتلا به سرطان آنال و نیز زگیل تناسلی در مردان در سنین ۹ تا ۴۵ سالگی تزریق می‌شود.

۳. قرص جلوگیری از زگیل تناسلی

قرص آسیکلوویر یک داروی ضد ویروس برای درمان عفونت‌هایی مانند عفونت‌های هرپس سیمپلکس و زگیل تناسلی است. آسیکلوویر علاوه‌بر قرص در سایر اشکال از جمله کرم یا ژل موضعی و همچنین به صورت محلول وریدی هم وجود داشته و تجویز می‌شود. این دارو از تکثیر ویروس در بدن جلوگیری می‌کند.

۴. تقویت سیستم ایمنی بدن برای پیشگیری از زگیل تناسلی

برای کمک به پیشگیری از ابتلا به HPV و حفظ سلامت بدن، می‌توانید با ترک سیگار، کاهش سطح استرس و تغییر رژیم غذایی، سیستم ایمنی بدن خود را تقویت کنید. 

۵. پیشگیری از زگیل تناسلی با ترک سیگار

براساس نتایج آزمایشات متعددی که در این زمینه انجام شده، در افرادی که سیگار می‌کشند احتمال ابتلا به بیماری‌های مقاربتی (STD) و عفونت HPV بیشتر از افراد غیر سیگاری است.

۶. احتیاطات مادران باردار برای جلوگیری از ابتلای جنین به ویروس HPV

هیچ راهی برای جلوگیری از انتقال HPV به جنین در دوران بارداری وجود ندارد، اما اگر عفونت را تحت کنترل داشته باشید و زایمان سزارین را انتخاب کنید، ممکن است این خطر به حداقل برسد.

۷. پرهیز از داشتن شرکای جنسی متعدد برای پیشگیری از زگیل تناسلی

بهترین راه برای اطمینان از عدم ابتلا به بیماری مقاربتی مانند HPV این است که، از هرگونه تماس جنسی با افراد متعدد اجتناب کنید. تماس و رابطه جنسی شامل رابطه جنسی واژینال، دهانی، مقعدی و هر تماس تناسلی دیگر می‌شود.

لازم است برای پیشگیری از ابتلا به زگیل تناسلی، از هرگونه تماس جنسی با افراد متعدد اجتناب کنید.

۸. انجام تست های غربالگری

آزمایش hpv اغلب همزمان با آزمایش پاپ اسمیر انجام می‌شود. تست پاپ اسمیر به بررسی سرطان در سلول‌های دهانه رحم می‌پردازد. تست HPV را می‌توان با استفاده از نمونه تست پاپ انجام داد یا اینکه پزشک می‌تواند نمونه دوم را از کانال دهانه رحم دریافت کند.

پیشگیری از زگیل تناسلی در طب سنتی

در طب سنتی روش‌های متعددی برای جلوگیری از اچ پی وی نام برده شده است. مثلا استفاده موضعی از عصاره چای سبز، سرکه سیب، عصاره سیر، عسل، آلوئه‌ورا یا روغن درخت چای به عنوان روش‌هایی بسیار اثربخش در درمان و جلوگیری از تشدید زگیل‌ها بیان شده که می‌توانید هر یک از این روش‌ها را امتحان کنید.

متن انگلیسی:
genital warts and HPV is lifelong. That means even with treatment to remove them, the warts may come back. Everyone responds differently to treatment to remove warts. If you have genital warts, talk to your healthcare provider about what removal option works best for you
ترجمه متن:
زگیل تناسلی و HPV مادام‌العمر هستند. این بدان معناست که حتی با درمان برای برداشتن آن‌ها، زگیل‌ها ممکن است همچنان عود کنند. پاسخ هر فردی به درمان از بین برنده زگیل متفاوت است. اگر زگیل تناسلی دارید، با پزشک خود در مورد اینکه کدام گزینه برای حذف زگیل بهتر است صحبت کنید.

راه های پیشگیری از تشدید و افزایش تعداد زگیل تناسلی (جلوگیری از زیاد شدن زگیل تناسلی)

اگر دغدغه‌ی زیاد شدن تعداد زگیل تناسلی را دارید، روش‌های زیر می‌توانند در جلوگیری از وقوع این اتفاق بسیار اثربخش باشند.

  • در حین برقراری رابطه جنسی حتما از کاندوم استفاده کنید.
  • از تماس مستقیم پوست به پوست خودداری کنید.
  • در صورت داشتن یک شریک جنسی، با افراد دیگر رابطه نداشته باشید یا به اصطلاح از داشتن شرکای جنسی متعدد خودداری نمایید.

پیشگیری از زگیل تناسلی مردان

حتی پس از درمان موفق زگیل‌های تناسلی، ویروس HPV ممکن است در بدن باقی بماند و منجر به عود مجدد زگیل‌ها شود. برای کاهش خطر عود مجدد زگیل‌های تناسلی و پیشگیری از انتقال ویروس HPV، اقدامات زیر توصیه می‌شود:

  • تزریق واکسن گارداسیل: بهترین راه پیشگیری از انواع پرخطر و کم‌خطر ویروس HPV.
  • استفاده صحیح و مداوم از کاندوم: سکس با کاندوم و کاندوم دهانی ریسک ابتلا به بیماری‌های مقاربتی در مردان را کاهش می‌دهند، اما این مطلب چندان برای زگیل تناسلی صدق نمی‌کند.
  • رعایت بهداشت فردی: تمیز و خشک نگه‌داشتن ناحیه تناسلی و پرهیز از لمس زگیل‌ها.
  • دارودرمانی: استفاده از داروهای تجویز‌شده مانند ایمیکویمود، پودوفیلین، تری‌کلرو استیک و سینکاتچینز طبق نظر پزشک.
  • کرایوتراپی (انجماد با نیتروژن مایع): برای از بین بردن زگیل‌های مقاوم.
  • الکتروکوتر: سوزاندن زگیل‌ها با جریان الکتریکی.
  • درمان لیزری: برای زگیل‌هایی که به درمان‌های دیگر پاسخ نمی‌دهند.
  • پرهیز از روابط جنسی پرخطر: داشتن شریک جنسی ثابت و مطمئن.
  • آگاهی و آموزش: شناخت راه‌های انتقال و پیشگیری از HPV.

تزریق واکسن گارداسیل، رعایت بهداشت فردی و استفاده صحیح از کاندوم بهترین راه‌های پیشگیری از ابتلا به HPV هستند.

واکسن HPV برای مردان

واکسن HPV برای مردان زمانی موثر است که فرد در معرض ویروس قرار نگرفته باشد. به ‌همین دلیل بهترین زمان تزریق واکسن گارداسیل در مردان پیش از سن شروع فعالیت جنسی بین ۹ تا ۲۱ سال است. واکسن‌های گارداسیل ۲ ظرفیتی، ۴ ظرفیتی و ۹ ظرفیتی در دنیا از سن ۹ سال به بالا قابل تزریق هستند.

پیشگیری از زگیل تناسلی زنان امکان پذیر است؟

طبیعی است که نخستین راه برای پیشگیری از زگیل تناسلی زنان رعایت احتیاط و اقدامات ضروری در رابطه جنسی است. داشتن شریک‌های جنسی متعدد و برقراری رابطه محافظت‌نشده می‌تواند خطر ابتلا به بیماری های مقاربتی را تشدید کند. برای پیشگیری از زگیل تناسلی در زنان این توصیه‌ها را جدی بگیرید:

  • سکس با کاندوم: استفاده از کاندوم در رابطه جنسی می‌تواند خطر ابتلا را کاهش دهد. هرچند که سکس با کاندوم نمی‌تواند راه پیشگیری ۱۰۰ درصدی باشد، چرا که تمام آلت تناسلی با کاندوم پوشیده نمی‌شود و امکان ابتلا هست.
  • واکسن: واکسن گارداسیل از ابتلای شما به این ویروس پیشگیری می‌کند. بهترین سن برای تزریق واکسن زگیل تناسلی ۱۱ تا ۱۲ سالگی است و خانم‌ها می‌توانند در فاصله سنی ۱۳ تا ۲۶ سال هم این واکسن را تزریق کنند. جهت پیشگیری از بروز حساسیت حتما پیش از تزریق با پزشک مشورت کنید. خانم‌های باردار بهتر است واکسن نزنند.

انتخاب سبک زندگی سالم، تغییر عادات غذایی، ترک سیگار و نداشتن شرکای جنسی متعدد از دیگر ترفندهای طلایی برای پیشگیری از زگیل تناسلی هستند.

راه های پیشگیری از زگیل تناسلی پر خطر

زگیل تناسلی پرخطر که ناشی از ویروس پاپیلوما (HPV) است، می‌تواند به مشکلات جدی‌تری مانند سرطان گردن رحم، مقعد و دیگر نواحی تناسلی منجر شود. برای جلوگیری از ابتلا به این ویروس و کاهش خطر بروز عوارض ناشی از آن، انجام اقدامات پیشگیرانه ضروری است با انجام اقدامات زیر می‌توان از ابتلا به زگیل تناسلی پرخطر پیشگیری کرد: 

  • استفاده از کاندوم در رابطه جنسی، ریسک انتقال زگیل تناسلی را کاهش می‌دهد.
  • پرهیز از روابط جنسی متعدد و پرخطر
  • انجام آزمایش‌های دوره‌ای منظم
  • رعایت بهداشت ناحیه تناسلی

راه های پیشگیری از زگیل تناسلی کم خطر

برای جلوگیری از انتشار زگیل‌های تناسلی، رعایت رابطه جنسی ایمن و استفاده از کاندوم ضروری است. اگر فرد یا شریک جنسی‌اش در حال درمان زگیل تناسلی هستند، باید تا بهبودی کامل از برقراری رابطه جنسی خودداری کنند، زیرا روند بهبودی ممکن است مدتی طول بکشد. حتی زمانی که زگیل‌ها قابل مشاهده نیستند، هنوز امکان انتقال ویروس به دیگران وجود دارد، هرچند این خطر کمتر است.

یکی از بهترین روش‌ها برای پیشگیری از زگیل‌ تناسلی کم خطر، دریافت واکسن اچ پی وی است. واکسن‌هایی مانند پاپیلوگارد (ایرانی) و گارداسیل (خارجی) از سویه‌های پرخطر ویروس اچ پی وی که عامل زگیل‌های تناسلی و سرطان‌های گردن رحم هستند، پیشگیری می‌کنند. برای بیشترین تأثیر، توصیه می‌شود که واکسیناسیون قبل از شروع فعالیت جنسی و رسیدن به سن جنسی انجام شود. علاوه بر واکسیناسیون، اقدامات دیگری مانند پرهیز از روابط جنسی پرخطر، استفاده از کاندوم و رعایت بهداشت مناسب نیز در کاهش خطر ابتلا به ویروس اچ پی وی مؤثر هستند. برای پیشگیری از این نوع از ویروس اچ پی وی، اقدامات زیر را انجام دهید:

  • استفاده از کاندوم در رابطه جنسی جهت پیشگیری از انتقال عفونت‌های تناسلی
  • واکسن اچ پی وی
  • وفاداری جنسی و پرهیز از روابط جنسی پرخطر
  • نظارت و پیگیری مستمر 
  • ارتقای سلامت جنسی و رعایت بهداشت ناحیه تناسلی
  • آگاهی از علائم زگیل تناسلی کم خطر و بررسی منظم ناحیه تناسلی برای شناسایی زودهنگام علائم

سخن پایانی درباره دشمن زگیل تناسلی

همانطور که گفته شد زگیل تناسلی شایع‌ترین عفونت مقاربتی (STI) بوده که انواع خاصی هم دارد. روش‌های زیادی به عنوان دشمن زگیل تناسلی و پیشگیری از ابتلا به این بیماری وجود دارد که هم زن و هم مرد را از خطر ابتلا محافظت می‌کنند. برای مثال استفاده از کاندوم، رعایت نکات بهداشتی و عدم برقراری رابطه جنسی با شرکای جنسی متعدد راه‌هایی برای پیشگیری از ابتلا به این بیماری هستند.

ارسال نظر

نمای روز

داغ

صفحه خبر - وب گردی

آخرین اخبار